Prenatal Environmental Effects on Postnatal Outcomes

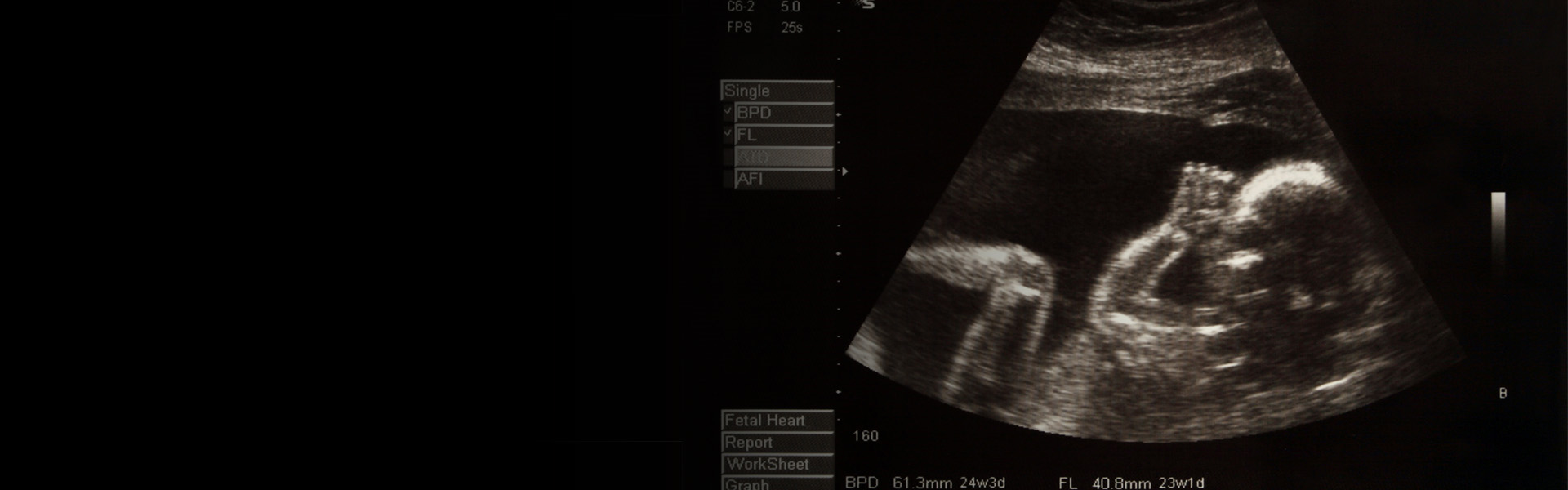
An ultrasound of a baby
PEEPO logo

What we do

The PEEPO project aims to explore the associations between adversities experienced in the prenatal period and children’s later cognitive development and educational attainment. A series of reviews will be undertaken to explore specific adversities, including topics such as maternal stress, maternal malnutrition, teratogens and drugs, maternal sleep, and maternal metabolic disorders. The aim of the project is to better inform policy by examining which factors are important in pregnancy for influencing children’s later achievement. It will therefore enable effective recommendations for maternal care that stand to improve children’s chances of strong educational outcomes from the outset. The project will bring together research across disciplines for a better understanding of what we know, and crucially, what we need to know next, about the effects of adversity during pregnancy on long-term educational outcomes.